
Over 10 years of proven expertise
Long lasting dental care with natural results
Book a consultation
Transformations
We don’t just create beautiful smiles — we create confidence. Every patient journey reflects our commitment to honesty, precision, and exceptional care.

Patient journey
I walked in nervous, but the warm team and calming environment helped me relax. During my consultation, the doctor explained everything clearly — no pressure, just honest advice. I was shown a digital preview of my new smile.
I decided to go ahead, and the whole process was smooth, organised, and stress-free. I left with a brighter, more natural smile — and a renewed sense of confidence.

Pay in 4. No Interest. No Fees

Pay in 4. No Interest. No Fees
Our director
Founder and Medical Director at Cosmolaser, Dr. Anoop Babu is a trusted name in advanced dental, laser, and facial aesthetics. His philosophy blends innovation with compassion, ensuring every patient receives both technical excellence and genuine care.
Book a consultation
Every smile has its own story — my focus is restoring it with comfort and confidence.

Director
10+ Years of Experience
Inside CosmoLaser Medical Center
Experience a serene, private space designed to make you feel safe, supported, and cared for from the moment you arrive.

Private consultation and treatment rooms

Calming, spa-like atmosphere

Female-only staff available

Multilingual team (English, Arabic, Filipino)

Discreet, confidential service



Services
Browse our array of services and book a consultation to discover what’s right for you.
Our process
We take our time — because your smile deserves careful planning, precision, and personalised attention.
Book a consultation
We begin with advanced imaging and detailed aesthetic planning to understand your goals and design a smile that suits your natural facial features.


Every step of your treatment is tailored to enhance harmony, symmetry, and long-term comfort. Nothing is rushed — every detail is crafted with intention.


Healing is supported with personalised aftercare and attentive follow-up. Our team ensures your comfort, confidence, and clarity throughout your recovery journey.

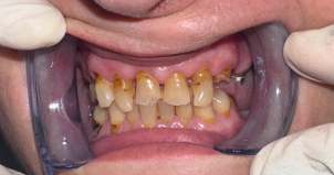
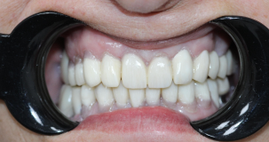
Real transformation
Our dental implant process delivers secure, natural-looking results — from consultation to complete restoration — in as little as two weeks
Book a consultation
Before

After

Hear from patients who transformed their confidence with us.
Book a consultation
FAQs
Veneers are thin, durable shells crafted from tooth-coloured materials to improve the appearance of teeth. They correct discoloration, chips, gaps, and shape irregularities for a beautifully natural smile.
Dental implants are titanium posts placed into the jawbone to replace missing teeth permanently. They restore chewing function, prevent bone loss, and look and feel like natural teeth.
A Senior Client Consultant will call you shortly to answer your questions and guide you through the next steps.

Pay in 4. No Interest. No Fees